広報誌HOPE Plus

芦屋病院コラム

帯状疱疹ワクチンについて

感染制御チーム(ICT)・総合内科・臨床検査科 臼井 健郎

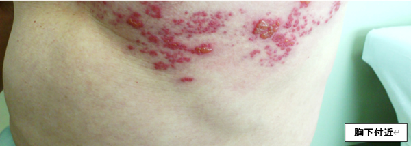
帯状疱疹は水痘・帯状疱疹ウイルスによって引き起こされる病気で、神経に沿って痛みを伴う発疹や水ぶくれが帯状に身体の片側に現れます。 小児期に水痘(水ぼうそう)にかかった後、神経節に潜伏していたウイルスが、再び活性化することで発症します。 高齢者や免疫力が低下した方に多く、重症化すると神経痛の後遺症に長く悩まされ、またがん闘病中などの免疫力が低下しているご家族がいる場合、家庭内で接触感染(まれに空気感染)しうるといった問題があります。

芦屋市では帯状疱疹ワクチン(生ワクチン・組換えワクチンのいずれかを選択)の高齢者への定期予防接種のほか、50歳代の方には一部費用の助成事業も行っています。これらのワクチンは発症を100%防ぐものではありませんが、重症化や後遺症の予防効果が認められています。

水痘・帯状疱疹ウイルスとは

水痘・帯状疱疹ウイルスには多くが10歳までに感染し、水痘(みずぼうそう)の原因となります。 水痘治癒後もこのウイルスは身体から除去されず神経節細胞に潜伏し、中高年になると帯状疱疹を発症します。 みずぼうそうを発症した覚えがないから大丈夫と思いがちですが、2015年の国立感染症研究所の調査では日本人成人の9割以上がこのウイルスに既感染・保有しており、 80歳までに30%が帯状疱疹を発症すると言われています(Open Forum Infect Dis。4(1): ofx007、 2017)。 帯状疱疹はほとんどが左右どちらかに発症し、ピリピリとした痛みを伴う皮疹が出てくるのが特徴です。皮疹は、赤い斑点→水ぶくれ→かさぶた(痂皮化)となって治る経過をとります。 通常皮膚症状の改善とともに痛みも治まってきます。皮疹が出現してから痂皮となるまでの期間は周囲への感染源となりますが、帯状疱疹患者は水痘患者と比べて周囲への感染力は弱いとされています(CDC MMWR 2008;57(RR-5):1-30)。

帯状疱疹後神経痛とは 

帯状疱疹の少なくない合併症として帯状疱疹後、神経痛(PHN: postherpetic neuralgia)があります。 50歳以上の患者さんでは、2割がPHNへ移行するという報告 (治療90(7):2147、2008) もあります。PHNになると、焼ける或いは刺すような痛みや、触れるだけで痛みを感じるようなアロディニア(allodynia、異痛症:神経障害性疼痛)と言われる感覚異常を呈することもあります。 ペインクリニック等専門科へご紹介のうえ、神経障害性疼痛用鎮痛剤、神経ブロックなどの治療を施行頂きますが、難渋するケースもあるようです。

グラフ

帯状疱疹の予防とワクチン 

帯状疱疹は免疫が低下することで発症する場合が多いので、普段から十分に休息をとり、体調のすぐれないときは安静に過ごすことを心がけましょう。

50歳を過ぎると増加傾向となるため、下記ワクチン接種を行うことが帯状疱疹の発症や重症化を防ぐうえで効果的です。帯状疱疹ワクチンには2 種類あり、国内では生ワクチンの「乾燥弱毒生水痘ワクチン(ビケン)」と不活化ワクチンの「乾燥組換え帯状疱疹ワクチン(シングリックス)」のいずれかのワクチンを接種できます(2016年薬事承認)。

定期接種等での接種対象者は原則50歳以上の方になりますが、不活化ワクチンについては、帯状疱疹に罹患するリスクが高いと考えられる方(例: 固形臓器・造血幹細胞移植患者、がん患者、HIV(後天性免疫不全症候群)患者、COPD(慢性閉塞性肺疾患)患者、膠原病患者、炎症性腸疾患患者、乾癬患者、糖尿病患者、気管支喘息患者等)については18 歳~49歳の方でも、主治医判断のもとで接種を検討できます。 過去に帯状疱疹の既往がある方も、「接種不適当者」に該当しなければ接種が推奨されています(Vaccine 41(2023)36-48)。

接種不適当者とは、(1)明らかな発熱を呈している者、(2) 重篤な急性疾患に罹患していることが明らかな者、(3) 当該ワクチンの成分によってアナフィラキシーを呈したことが明らかな者、(4) 生ワクチンについて、妊娠していることが明らかな者、(5) 生ワクチンについて、明らかに免疫機能に異常のある疾患を有する者及び免疫抑制をきたす治療を受けている者、(6) 上記に掲げる者のほか、予防接種を行うことが不適当な状態にある者、以上となります。

国内で接種できる帯状疱疹ワクチン

  1. ビケン(水痘ワクチン) (乾燥弱毒生水痘ワクチン)
    接種回数は1回。発症予防効果は50%。持続期間は5年程度。価格が安く、副反応が少ないが、予防効果はシングリックスのほうが高い。
  2. シングリックス(乾燥組換え不活化ワクチン)
    接種回数は2回(2カ月間隔)。発症予防効果は90%以上。持続期間は9年以上。2回接種する必要があり、生ワクチンより費用が高くなるが、予防効果は高い。
ワクチン名称 ビケン(水痘ワクチン) シングリックス
種類 弱毒生水痘ワクチン 組換え不活化ワクチン
(Recombinant Varicella-zoster virus (VZV) Glycoprotein E + AS01b adjuvant)
接種方法 皮下注射 1回0.5 mL 筋肉注射 1回0.5 mL
接種年齢 50歳以上 50歳及び、18歳以上(※ 注)
接種回数 1回 2回(2カ月後に2回目)
予防効果 約50~60% 約90%以上
持続期間 約5年程度 約9年以上
副反応 接種部位の痛み、腫れ、発赤
3日~1週間で消失
接種部位の痛み、腫れ、発赤、筋肉痛、全身倦怠感
3日~1週間で消失
長所 ・副反応が軽い
・1回接種
・費用が安い
・免疫が低下している方にも接種可能
・予防効果が高い
・持続期間が長い
短所 ・免疫が低下している方には接種できない
・持続期間が短い
(5年を越えると 50%有効性が低下する)
・皮下注射に比べ接種部位の痛みが強い
・2回接種が必要
・費用が高額
接種間隔 他ワクチンとの接種間隔が
1ヵ月
他ワクチンとの接種間隔が
1週間

(※ 注)帯状疱疹の発症リスクが高いと考えられる18歳以上への追加承認になる為、医師の判断による接種となります。

有効性の持続時間

最近の話題:帯状疱疹(ワクチン)と認知症

2025年5月の科学雑誌 Nature にスタンフォード大学から帯状疱疹ワクチンが認知症予防に効果があるかもしれないという研究結果が報告され、注目を集めています。

同研究では英国ウェールズでの28万人を超える高齢者の電子カルテデータを、2013年から2020年までの7年間にわたって追跡調査し、「弱毒生ワクチン」を接種した集団は接種しなかった集団と比較して追跡期間中に新たに認知症と診断される相対リスクが20%有意に減少しました。 認知症発症率の低下は1年以上経過してから明確になるため、即時的な薬理作用より長期的な生物学的メカニズムが推定されています(Nature。2025 May;641(8062):438-446)。

Natureで発表された内容が異なる集団でも通用するのか2025年6月オーストラリアで同様の手法(行政のワクチン接種プログラムを利用した自然実験)で追試がおこなわれています。同国では、70~79歳の高齢者に対し2016年11月1日より、弱毒化生ワクチンが無償提供されました。このとき2016年11月1日の数週間前に80歳を迎えた人には接種資格がなく、これら10万人以上の集団を7年間にわたり「比較」分析した結果、ワクチン接種した集団の新たな認知症診断を受ける確率が1.8%低下したことが示されています(JAMA。2025 Jun 17;333(23):2083-2092)。

2025年に発表された5つのコホート研究(対象者1400万人以上)を含むメタアナリシスでは、帯状疱疹ワクチン接種が認知症リスクを29%減少させることが示され(J Alzheimers Dis。2025 Aug;106(4):1232-1241)、別の5つの研究(対象者10万人以上)を対象としたメタアナリシスでも、帯状疱疹ワクチンによって認知症のリスクが24%減少していることが確認されています(Brain Behav。2024 Feb;14(2):e3415)。なお実績のある従来型(生ワクチン)と新型(シングリックス)を比較した研究では、新型シングリックスの方が従来型より認知症リスクを17%低下したと報告されています(Nat Med。2024 Oct;30(10):2777-2781)。

PubMed検索において帯状疱疹と認知症の関連が言われ始めたのは2021年頃になりますが、ワクチンが認知症予防に効く仮説として、潜伏する帯状疱疹ウイルスが脳神経系で起こす炎症を直接防ぐ効果のほか、従来認知症との関連が言われているHSV-1(単純ヘルペスウイルス1型)の共活性化を防ぐ可能性が考えられています。 またワクチンに含まれるアジュバント(抗原性補強剤)が免疫システムを鍛え、脳のゴミ(アミロイドβタンパク質:脳内に蓄積すると神経細胞を傷つけアルツハイマー型認知症の原因となる老廃物)を掃除しやすくするなど、認知症になりにくい体質へ変える可能性も指摘されています。

他にも帯状疱疹ワクチンの認知症への効果を示した論文がいっぱいある

Natureに掲載された帯状疱疹ワクチンの認知症への効果について